Thoát vị đĩa đệm thắt lưng là bệnh lý xương khớp phổ biến, thường gặp ở người lao động nặng, dân văn phòng và người trung niên – cao tuổi. Trong nhiều trường hợp, người bệnh chỉ phát hiện khi đã có biểu hiện đau lan xuống chân, tê bì hoặc yếu cơ. Việc hiểu rõ nguyên nhân gây thoát vị đĩa đệm thắt lưng có vai trò quan trọng để phòng ngừa và điều trị hiệu quả, vậy hãy cùng tìm hiểu những thông tin đó trong bài viết dưới đây nhé!
![]()
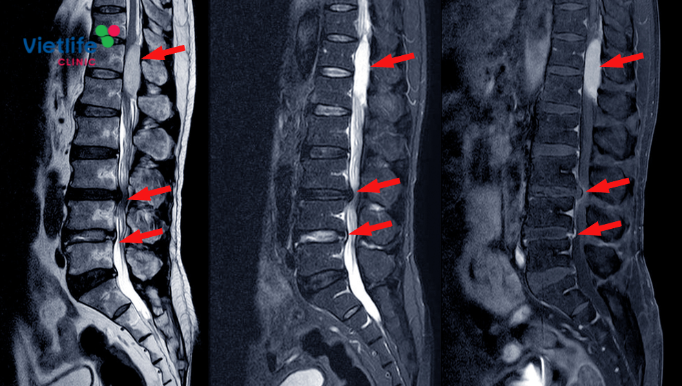
Thoát vị đĩa đệm thắt lưng là gì?
Đĩa đệm là phần nằm giữa hai đốt sống, có cấu tạo gồm nhân nhầy và bao xơ. Khi bao xơ bị rách hoặc nứt, nhân nhầy sẽ thoát ra ngoài, chèn ép vào rễ thần kinh – gây ra tình trạng thoát vị đĩa đệm.
Vùng thắt lưng là nơi chịu nhiều áp lực nhất khi chúng ta đứng, ngồi, mang vác… nên rất dễ bị tổn thương, đặc biệt ở vị trí L4-L5, L5-S1.
![]()
Xem thêm Thoát vị đĩa đệm có nguy hiểm không? 5 dấu hiệu cảnh báo bạn cần đi khám ngay! tại ĐÂY
Nguyên nhân gây thoát vị đĩa đệm thắt lưng
Thoái hóa cột sống theo tuổi tác
Tuổi càng cao, đĩa đệm càng mất nước và tính đàn hồi, khiến bao xơ dễ rách hơn khi có lực tác động. Đây là nguyên nhân phổ biến nhất ở người trên 40 tuổi.
![]()
Mang vác nặng, sai tư thế
Bê vật nặng đột ngột, cúi người sai cách hoặc xoay người mạnh khi chưa khởi động kỹ đều có thể làm rách bao xơ. Đối tượng dễ mắc: người lao động tay chân, vận động viên, người tập gym sai kỹ thuật.
![]()
Ngồi nhiều, ít vận động
Dân văn phòng, tài xế đường dài… thường ngồi lâu trong một tư thế, khiến cột sống bị đè nén liên tục. Tình trạng này kéo dài làm đĩa đệm suy yếu, dễ bị tổn thương.
![]()
Chấn thương cột sống
Tai nạn lao động, tai nạn giao thông, ngã cầu thang, va đập mạnh vùng lưng… có thể gây tổn thương đĩa đệm hoặc làm trượt đốt sống, dẫn đến thoát vị.
![]()
Thừa cân, béo phì
Cân nặng dư thừa làm tăng áp lực lên cột sống, đặc biệt là vùng thắt lưng. Đây là yếu tố nguy cơ dễ gặp ở người ít vận động và ăn uống không khoa học.
![]()
Yếu tố di truyền và bẩm sinh
Một số người có cấu trúc cột sống bất thường, đĩa đệm yếu từ nhỏ hoặc trong gia đình có người bị thoát vị – cũng dễ mắc bệnh hơn người bình thường.
Những dấu hiệu sớm về thoát vị đĩa đệm – Không nên bỏ qua!
![]()
Phát hiện sớm thoát vị đĩa đệm giúp việc điều trị hiệu quả và ít tốn kém hơn. Hãy lưu ý nếu bạn có các biểu hiện sau:
-
Đau thắt lưng: Đau âm ỉ, kéo dài, tăng khi ngồi lâu hoặc cúi gập người.
-
Tê bì chân, lan xuống mông, đùi, bắp chân (theo đường đi của dây thần kinh tọa).
-
Yếu cơ, cảm giác mất lực khi nhấc chân, đi lại khó khăn.
-
Co cứng cột sống, khó cúi hoặc xoay người linh hoạt.
Chia sẻ từ chuyên gia cột sống
![]()
Theo PGS.TS Nguyễn Lê Bảo Tiến – nguyên Viện trưởng Viện Chấn thương Chỉnh hình (BV Việt Đức):
“Thoát vị đĩa đệm không phải do một nguyên nhân đơn lẻ, mà là sự cộng hưởng của nhiều yếu tố. Bên cạnh điều trị y tế, người bệnh cần thay đổi cả chế độ vận động, cân nặng và thói quen sinh hoạt để kiểm soát bệnh hiệu quả.”
Xem thêm 6+ giải pháp hết bị thoát vị đĩa đệm hiệu quả tại ĐÂY
Phòng ngừa thoát vị đĩa đệm từ sớm
![]()
Để phòng ngừa thoát vị đĩa đệm từ sớm, chúng ta nên:
- Giữ cân nặng hợp lý, tránh béo phì
- Ngồi đúng tư thế khi làm việc hoặc lái xe
- Không mang vác nặng sai cách
- Tập thể dục nhẹ nhàng, đều đặn (bơi lội, yoga, đi bộ…)
- Khám định kỳ để phát hiện sớm tổn thương đĩa đệm
- Địa chỉ thăm khám và điều trị uy tín
Vietlife – Giải pháp toàn diện cho người thoát vị đĩa đệm
Tại Trung tâm Cột sống Vietlife, chúng tôi cung cấp liệu trình điều trị không xâm lấn – cá nhân hóa dưới sự hướng dẫn của đội ngũ chuyên gia giàu kinh nghiệm:
- Khám và đánh giá tổn thương bằng MRI hiện đại
- Lập phác đồ phục hồi chức năng chuyên sâu
- Kết hợp vật lý trị liệu, nắn chỉnh cột sống an toàn
- Theo dõi sát tiến triển và điều chỉnh kịp thời

Xem thêm về Vietlife Ra Mắt Gói Giải Pháp: Chấm Dứt Đau Lưng, Tái Sinh Vận Động tại ĐÂY
Lời kết
Thoát vị đĩa đệm thắt lưng không xảy ra đột ngột mà là kết quả của quá trình tổn thương lâu dài. Nhận biết nguyên nhân sớm, thay đổi lối sống và khám chuyên khoa định kỳ là chìa khóa giúp bạn kiểm soát bệnh, tránh biến chứng nguy hiểm.
Phòng khám Vietlife là một trong những địa chỉ uy tín trong lĩnh vực chăm sóc sức khỏe. Với đội ngũ PGS, TS, BS đầu ngành trong lĩnh vực thần kinh đã điều trị thành công cho hàng nghìn bệnh nhân gặp phải các vấn đề về cột sống như thần kinh, cột sống, cơ xương khớp, ung thư,…giúp người bệnh duy trì sức khoẻ và nâng cao chất lượng cuộc sống.
Đặt lịch khám ngay để được thăm khám trực tiếp bởi các bác sĩ chuyên khoa hàng đầu tại Phòng khám Vietlife. Quý khách vui lòng bấm số HOTLINE hoặc đặt lịch trực tiếp TẠI ĐÂY.



Tư vấn chuyên môn bài viết
PGS. TS. NGUYỄN LÊ BẢO TIẾN